Request an In-Office Consultation
Bring back the confidence in your smile
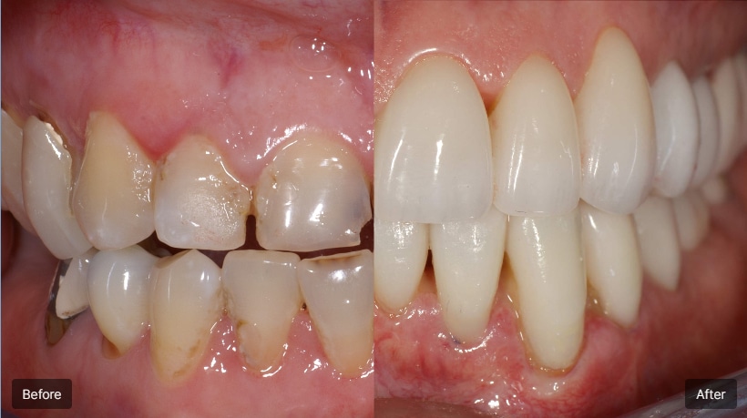
Upland's Top Trusted Veneers Specialist
Let’s create a natural, harmonious smile that you’re confident about

Am I candidate for Dental Veneers?
During your in-office consultation, Dr. Young will carefully examine your teeth and gums to evaluate whether or not you are an ideal candidate for dental veneers. Ideally, a good candidate is someone who has any of the following cosmetic conditions:
- Chipped teeth
- Misaligned teeth
- Spacing irregularities
- Gaps between teeth
- Misshapen teeth
- Stains resistant to whitening
- …and more
The journey to achieving the perfect smile
1. It all starts with a consultation
During your consultation, Dr. Young will discuss your options and go through “look books” to help you choose a tooth style. With advanced 3D imaging, we can also show you how your smile will appear once the procedure is complete. We will also remind you that this procedure will permanently alter the appearance of your teeth and that you should take time to evaluate your options.
2. Prepping the teeth
To ensure your veneers are proportionately sized and look as natural as possible, we will remove roughly a half-millimeter of tooth enamel from the buccal (outward-facing) surface of the teeth.
3. Creating impressions of your teeth
After preparing your teeth, the next step is to create impressions, which will then be sent to an area dental lab to craft your permanent veneers. These impressions will also guide the creation of your temporary composite veneers.
4. Placing the temporaries
Before you leave, we will bond temporary veneers to your teeth. These serve to give you an idea of how your permanent porcelain veneers will appear and help to limit sensitivities from having the small amount of enamel removed.
5. Cementing your porcelain veneers
At your follow-up appointment, we will remove your temporary veneers and do a try-in of your permanent porcelain veneers. If you like the fit and appearance of your veneers, we will then apply a cementing agent to your teeth and then place your veneers.
6. Smile!
This is the fun part. Now, you can head off and show the world your newly crafted, perfect smile! Just be sure to attend regular checkups so we can keep your smile beautiful and your oral health in tip-top shape!

Meet your Veneers Specialists in Upland
Our Upland dentists, Dr. Clifford Young and Dr. Peter Young, and the team at Young Dental Health Center strive to provide an unforgettable dental experience. From the moment you call until your first appointment, we will continually provide the best experience possible. We do not see you as another patient but as part of our dental family.
In many ways, your smile is your most valuable asset. Chipped, cracked, stained, worn, and missing teeth can affect the overall appearance of your smile. With dental veneers, Upland area patients can transform their smile to one that gets noticed for all the right reasons.

Our patient reviews speak for themselves
Dr. Clifford Young and Dr. Peter Young and the team at Young Dental Health Center are here to make sure that your dental experience is nothing less than outstanding.

